Mouthpiece

マウスピース
Bracket

ブラケット
ご希望の矯正方法どちらにも
対応できます
浜松市野
すぐ
矯正治療の認定医が
患者様一人ひとりに合わせた歯列矯正を
ご提案します。

Mouthpiece

マウスピース
Bracket

ブラケット
ご希望の矯正方法どちらにも
対応できます
矯正治療の認定医が
患者様一人ひとりに合わせた歯列矯正を
ご提案します。
ご安心ください。
患者様のご希望をしっかりとお伺いし、
お悩みを一つずつ
解消していけるよう、
診療を進めていきます。
どのようなことでもお気軽にご相談ください。
当院の感染対策について

マウスピース矯正

ブラケット矯正
裏側矯正

Point 01
歯列矯正は治療を行う歯科医師の技術と経験が治療結果を左右します。「どこで受けても同じ」ということは決してありません。
Point 02
部分矯正であれば1年程度。全体矯正の場合は2年~3年程度です。(※ 歯並びの症状によって治療期間が異なります)
Point 03
抜歯をせずに治療ができるケースもあります。ただし、お口の状態や歯並びの症状によっては抜歯が必要になります。
Point 04
一般の歯科医師は主にむし歯や歯周病、審美治療や予防処置などさまざまな診療を行います。
それに対し、矯正認定医は日本矯正歯科学会の研修を受け、多くの治療経験を積んで認定医の資格を取得した「矯正のプロフェッショナル」です。矯正治療は歯科医師によって差が出やすい治療のため、治療を受ける際は歯科医師の知識や経験、技術などをしっかり見極めることが重要です。
Point 05
患者様によって個人差はありますが、治療後、2~3日は歯が浮いたような違和感や痛みを感じることがあります。
違和感や痛みはおおむね1週間程度で収まることがほとんどです。
痛みが気になる方には治療中の痛みが比較的少ないマウスピース矯正がおすすめです。
Point 06
ブラケット矯正の場合は歯磨きがしにくくなり、むし歯や歯周病になるリスクが高くなります。
治療期間中は専用の清掃器具を使うと歯の汚れを落としやすくなり便利です。
当院では矯正開始後に歯磨き指導を行っています。
なお、取り外せるマウスピース型矯正装置であれば歯磨きは問題なくできます。
「マウスピース矯正とワイヤー矯正の違いって?」
「マウスピースは1日どれくらい装着するの?」
「目立たないワイヤー矯正ってあるの?」
「治療費が高そう」
「本当に歯並びを治せるのかな?」
どんな疑問やお悩みも、ご遠慮なくご相談ください。
歯列矯正はさまざまな種類があり、それぞれの治療法ごとに
メリット・デメリットがあります。
当院では、患者様に適した治療法を矯正専門医がしっかりと検討し、
ご提案させていただきます。
あなたにぴったりの治療法を一緒に探していきましょう。
マウスピース型 |
ワイヤー矯正 |
矯正裏側 |
部分矯正 |
|
|---|---|---|---|---|
| 装置 | ![]() |
![]() |
![]() |
![]() |
| メリット |
|
|
|
|
| デメリット |
|
|
|
|
| 治療期間 | ○ | ◎ | ◎ | ○ |
| 治療費 | ○ | ◎ | ▲ | ○ |
| 通院頻度 | 1~3ヶ月に1度 | 1~2ヶ月に1度 | 1~2ヶ月に1度 | 1~2ヶ月に1度 |
| このような方に |
|
|
|
|
当院では患者様のご要望に応じて
「マウスピース矯正」「ブラケット矯正」
どちらの治療にも対応しています。
インビザラインとは
全顎症例にも対応できる
マウスピース型の矯正装置です

インビザラインは行程すべてをデジタル化した
新しいタイプのマウスピース型矯正です。
マウスピースの精密度が非常に高く、
従来のアナログ式のマウスピース型矯正では不可能だった
重度の歯並びの乱れにも対応できます。(※)
現在では日本・世界中で多くの歯科医院が
インビザラインを導入しています。
※極度の受け口など、難症例の場合は対応できないケースがあります。
※インビザラインは、薬機法対象外の矯正歯科装置です。
クリアコレクトとは
軽度から中等度の症例に適した
マウスピース型の矯正装置です


クリアコレクトはインビザラインに次いでマウスピース矯正シェア第2位のマウスピース型矯正歯科装置です。
インビザラインと同じく透明なマウスピース型の矯正歯科装置で、
前歯だけを治したいなどの部分的な矯正治療の場合は、
患者様の治療費の負担を抑えられるためクリアコレクトをおすすめしております。
※クリアコレクトは、薬機法対象外の矯正歯科装置です。
光学スキャナーで正確に
印象採得
当院では、従来ペースト状の型取り材を使用することで、模型作製のための型取りを行ってきましたが、
3Dの光学スキャナーを使用することで、制作な印象が採取できるとともに
型取り材特有の不快感がないため、患者さまの負担軽減にも効果的です。
正確な治療のため、負担の少ない治療のため設備にもこだわります。


透明だから目立ちにくい
薄く透明な素材でできているため、目立ちにくいです。ちょっと見ただけではマウスピースをつけているのを気付かれないことも。「目立たずに矯正したい」という方に特におすすめです。


痛みが少ない
一度に大きく歯を動かすワイヤー矯正とは異なり、短い距離で少しずつ歯を動かすため、歯にかかる負担が軽減されます。
治療中に感じる痛みや違和感が少ないのが特徴です。


通院回数が少ない
マウスピースの型取りは初回の1回のみ。修正がない場合はその後の型取りは行いません。通院回数も平均で1~3ヶ月に1回程度でOKです。(※)わずらわしい型取りや通院のストレスを軽減できます。
※通院頻度は患者様によって異なります
※治療の進み具合によっては通院頻度が増える場合もあります


取り外しができる
マウスピースはいつでも自由に取り外し可能です。いつも通りの食事を楽しむことができ、歯磨きもしっかりできます。
お口の中を清潔に保ちやすく、衛生的です。


多くの症例に対応できる
マウスピースの摩擦力を高める「アタッチメント」や、前歯の裏側に段差を作って噛み合わせを調整する「バイトランプ」などの技術を採用しており、従来のアナログ式マウスピース型矯正では不可能な重度の歯並びの乱れにも対応できます。


金属アレルギーの
方でも安心
素材は生体親和性の高い医療用ポリウレタンを使用しています。金属を一切使っておらず、金属アレルギーを起こす心配がありません。
・・・歯科医師からのコメント・・・
「本当の笑顔」を取り戻す
お手伝いをさせてください
「歯並びにコンプレックスがあり人前で口を開けて笑えない」
とても悲しいことですよね。
「コンプレックスを隠して生きるのではなく、自分に自信が持てる口元に。」
当院では患者様のお悩みを認定医がすべてお伺いした上でしっかりとカウンセリングを行い、適切な治療法をご提案させていただきます。患者様に生き生きとした人生を送っていただくため、必要なことは全力で取り組み、一緒に解決方法を探していければ、と思っております。
初診無料
カウンセリング
マウスピース矯正をお考えの方は、まずは無料のカウンセリングをお受けください。患者様の現在のお悩みや疑問などを矯正認定医がお伺いします。どんなことでもお気軽にご相談ください。
精密検査
問診票にご記入いただき、口腔内・レントゲン写真撮影、歯型の採取などの精密検査を行います。精密検査ではむし歯や歯周病の有無もチェックします。(※)採取したデータをもとに治療が適用可能かどうかを確認したのち、治療開始から終了までの綿密な計画を立てていきます。
※むし歯や歯周病が見つかった場合は患者様のご同意を得た上で矯正前に治療を行います
診断・
治療計画の説明
精密検査の結果や治療計画を患者様にご説明します。矯正認定医が患者様のご希望をすべて伺った上で適切な治療法をご提案させていただきます。治療法や治療計画について疑問や不安があるときには、どんなことでもお気軽にご相談ください。患者様がご納得できるよう、わかりやすく丁寧にご説明いたします。
治療開始
マウスピースが届いたら治療開始です。透明なマウスピースを1日に20時間以上装着し、少しずつ歯を動かしていきます。マウスピースはお渡ししてある物を10~14日間に1回の間隔でご自身で交換し装着していただきます。従来のアナログ式マウスピース型矯正と異なり、交換や型取りのための通院は不要です。(調整や口腔内の定期検査を受けるための通院となります)
治療期間は患者様によって異なりますが、おおむね1年半~2年半程かかります。通院頻度は1~3ヶ月に1回程度です(※)
※矯正の進み具合を考慮しながら徐々に通院頻度を減らしていきます
保定期間
保定とは矯正治療で動かした歯が元の位置に戻らないようにする処置です。保定ではリテーナーと呼ばれるマウスピース型の保定装置を装着していただきます。最初のうちは食事と歯磨きをのぞく一日中の装着(就寝中を含む)になりますが、保定が進むにつれて徐々に装着時間を減らしていきます。
保定期間は患者様によって異なりますが、1年半~2年半程度の保定期間が必要になります。保定期間中は3~4ヶ月に1回のペースでご来院いただき、歯並びや噛み合わせの状態、お口の中の健康状態をチェックします。
定期検査で歯並びが安定していることが確認できたら、保定期間を終了します。
保定終了後も、お口のお悩みやご希望の治療があるときはお気軽にご相談ください。
ブラケット矯正とは
ブラケットと呼ばれる金具を歯に装着し、
ワイヤーで固定して歯を動かす治療法です。
強い力で歯を動かすため、
重度の歯並びの乱れにも対応できます。


当院では通常の表側矯正に加え、矯正装置を歯の裏側(舌側)に
取り付ける裏側矯正もご提供しています。
裏側矯正は表側矯正と比べ高い技術が要求される治療法です。
裏側矯正では矯正認定医が患者様のお口の形状に合わせ、
精密な技術で治療を進めて行きます。


歯の裏側(舌側)に装着する
裏側矯正にも対応しています
当院では表側矯正に加え、歯の裏側に矯正装置を取り付ける裏側矯正にも対応しています。裏側矯正は歯の裏側に矯正装置を取り付けるため、正面から見ただけでは矯正をしているかどうかはほとんどわかりません。
「しっかり歯を動かしたいけど、矯正装置が目立つのはイヤ」という方におすすめです。


重度の歯のデコボコにも
対応できる
ブラケット矯正は金属製のブラケットとワイヤーで歯を固定します。強い力で歯を動かすため、重度の受け口や叢生(デコボコな歯)など、幅広い症例に対応できます。


治療期間が短い
マウスピース型矯正が少しずつ歯を動かすのに対し、ブラケット矯正では強い力をかけて大きく歯を動かすのが特徴です。
歯並びの乱れが大きい場合にはマウスピース型矯正のみで治療を行うよりも、ブラケット矯正の方が治療期間を短くできます。
・・・歯科医師からのコメント・・・
どのような歯並びも
認定医にお任せください
ブラケット矯正は「目立ちやすい」「痛い」という理由で避ける方が多いです。
しかし、歯並びの乱れが大きい場合にはブラケット矯正がおすすめです。
患者様によっては装着時の歯の痛みや治療中の違和感を感じることがありますが、痛みや違和感は1週間程度で収まることがほとんどです。また、抜歯が必要な場合はブラケット矯正が第一の選択肢になります。
「どの治療法を選べば良いのかわからない」など、お悩みや疑問があればご遠慮なくご相談ください。
矯正認定医が適切な治療法をご提案させていただきます。
初診無料
カウンセリング
矯正認定医によるカウンセリングを行います。
カウンセリングでは認定医が患者様の現在の歯のお悩みや矯正治療に関する疑問点などをしっかりとお伺いし、それぞれの患者様に適した治療法をご提案させていただきます。
精密検査
問診票にご記入いただき、口腔内・レントゲン写真撮影、歯型の採取などの精密検査を行います。
精密検査ではむし歯や歯周病の有無もチェックします。(※)採取したデータをもとに治療が適用可能かどうかを確認したのち、治療開始から終了までの綿密な計画を立てていきます。
※むし歯や歯周病が見つかった場合は患者様のご同意を得た上で矯正前に治療を行います
診断・
治療計画の説明
精密検査の結果や治療計画を患者様にご説明します。矯正認定医が患者様のご希望をすべて伺った上で適切な治療法をご提案させていただきます。治療法や治療計画について疑問や不安があるときにはどんなことでもお気軽にご相談ください。患者様がご納得できるよう、わかりやすく丁寧にご説明いたします。
前準備・抜歯
(必要な場合)
精密検査でむし歯や歯周病が見つかった場合は矯正前に治療を行います。抜歯が必要なケースでは抜歯をすることがございます。むし歯・歯周病の治療・抜歯も、すべて当院で行っております。
当院でむし歯・歯周病の治療や抜歯をご希望の際はご遠慮なくご相談ください。
治療開始
歯のクリーニングを行ったのち、治療を開始します。表側矯正では歯の表面、裏側矯正では歯の裏側に歯科用接着剤を使い、ブラケットを取り付けます。ブラケットにはワイヤーを通して固定し、歯を動かして歯並びを整えていきます。ブラケット矯正は歯に矯正装置が取り付けられているため、歯磨きがしにくくなります。
当院では矯正中の歯磨き指導を行うほか、専用の清掃器具もご紹介させていただきます。治療期間は患者様によって異なりますが、おおむね2年~3年程かかります。通院頻度は1~3ヶ月に1回程度です(※)
※矯正の進み具合を考慮しながら徐々に通院頻度を減らしていきます
通院の際は矯正装置の調整や口腔内の検診を行い、歯並びの状態やむし歯・歯周病の有無をチェックします。
保定期間
保定とは矯正治療で動かした歯が元の位置に戻らないようにする処置です。保定ではリテーナーと呼ばれる保定装置を装着していただきます。最初の内は食事と歯磨きをのぞく一日中の装着(就寝中を含む)になりますが、保定が進むにつれて徐々に装着時間を減らしていきます。
保定期間は患者様によって異なりますが、2年~3年程度の保定期間が必要になります。保定期間中は3~4ヶ月に1回程度ご来院いただき、歯並びや噛み合わせの状態、お口の中の健康状態をチェックします。
定期検査で歯並びが安定していることが確認できたら、保定期間を終了します。
保定終了後も、お口のお悩みやご希望の治療があるときはお気軽にご相談ください。
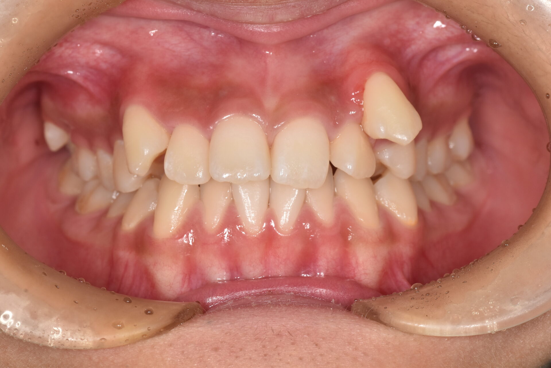
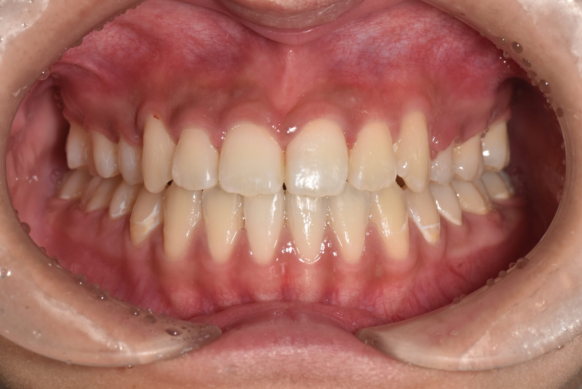
Case 01


BEFORE


AFTER
| 施術内容 | ブラケットによる矯正治療 |
|---|---|
| リスク・副作用 | ブラケットの装置で頬の内側に傷がついたり、口内炎になったりすることがあります。多くの場合、数日程度で慣れてきます。 |
| 治療期間 | 2年 |
| 費用 | 825,000円(税込) |
Case 02
BEFORE
AFTER
| 施術内容 | ブラケットによる矯正治療 |
|---|---|
| リスク・副作用 | ブラケットの装置で頬の内側に傷がついたり、口内炎になったりすることがあります。多くの場合、数日程度で慣れてきます。 |
| 治療期間 | 2年 |
| 費用 | 825,000円(税込) |
Case 03
BEFORE
AFTER
| 施術内容 | ブラケットによる矯正治療 |
|---|---|
| リスク・副作用 | ブラケットの装置で頬の内側に傷がついたり、口内炎になったりすることがあります。多くの場合、数日程度で慣れてきます。 |
| 治療期間 | 2年 |
| 費用 | 825,000円(税込) |
01
イオンモール浜松市野
至近で通いやすい歯科医院
当院はイオン市野至近、通いやすい立地に位置しています。周辺にはカインズやコストコもあり、お忙しい方でも「お買い物のついでに通えて便利」とご好評をいただいております。
02
プライバシーに配慮した
個室診療室での矯正治療
患者様のプライバシーに配慮し、完全個室で診療を行います。プライベートな空間のため、リラックスして診療をお受けいただけます。完全個室ですので、人目にふれる心配はございません。
お口のお悩みや治療に関する疑問など、どんなことでもお気軽にご相談ください。
03
丁寧で分かりやすい説明
当院では、患者様にわかりやすく丁寧なご説明を心掛けています。ご自身のお口の中の状態を把握していただき、ご納得の上で治療を受けていただきたいと考えております。
できるだけ専門用語は使わず、患者様の立場に立った“寄り添う診療”でお口の健康をサポートいたします。
04
矯正認定医による治療
矯正認定医とは一定の年数の研修と臨床を積んだ歯科医師にのみ与えられる矯正の専門資格です。
当院では、日本矯正歯科学会の認定を受けた矯正認定医による治療を行っています。これまでに多数の不正咬合を治療した経験を持つ認定医が、それぞれの患者様に適した質の高い治療をご提供いたします。
05
歯科外来診療環境体制
当院は厚生労働省の安全施設基準「歯科外来診療環境体制(外来環)」に認定された歯科医院です。
すべての患者様にご安心いただけるよう、安全を第一に考え、徹底した感染予防を行っております。
治療器具はすべて滅菌し、滅菌ができない物については使い捨て品(ディスポーザブル)を使用しています。
また、コロナ対策についても十分に配慮し、感染予防に努めております。
治療費について
| 相談料 | 無料 | |
|---|---|---|
| 精密検査・診断料 | 40,000円(税込44,000円) | |
| マウスピース矯正(インビザライン) | 850,000円(税込935,000円) | |
| マウスピース矯正(クリアコレクト) | 300,000円~600,000円 (税込330,000円~660,000円) |
|
| ブラ ケット 矯正 |
片顎 | 400,000円(税込440,000円) |
| 両顎 | 800,000円(税込880,000円) | |
| 小児矯正 | 一期治療 | 500,000円(税込550,000円) |
| 二期治療 | 300,000〜400,000円 (税込330,000〜440,000円) |
|
| 裏側矯正 | 1,250,000円(税込1,375,000円) | |
| 部分矯正 | 100,000円~300,000円 (税込110,000円~330,000円) |
|
| アンカースクリュー(1本) | 50,000円(税込55,000円) | |
| 処置料(調整料) | 3,000円~5,000円 (税込3,300円~5,500円) |
|
| 装置撤去料 | 20,000円(税込22,000円) | |
お支払いは現金の他、クレジットカード、
デンタルローンからお選びいただけます。
現金

クレジットカード

デンタルローン

医療費控除とは、納めた税金(所得税)の一部が戻ってくる還付制度です。その年の1月1日から12月31日までの1年間に医療費を10万円以上支払った場合、医療費控除の還付制度が適用されます。矯正治療(美容目的以外)は治療法の種類を問わず、すべて医療費控除の対象になります。(※)
※1年間に10万円以上の医療費を支払ったケースのみ
[医療費控除の適用例その1:課税所得額400万円で
1年間に100万円(税込)の
医療費を支払った場合]
還付額は180,000円前後
[医療費控除の適用例その2:課税所得額300万円で
1年間に80万円(税込)の
医療費を支払い、
保険金として20万円が下りた場合]
還付額は70,000円前後
還付額は所得や納税額、医療費によって異なります。医療費控除については国税庁のHPをご参照ください。当院では医療費控除の申請に必要な診断書を発行しております。診断書をご希望の際はご遠慮なくお申し出ください。


| 診療時間 | 月 | 火 | 水 | 木 | 金 | 土 | 日 | 祝 |
|---|---|---|---|---|---|---|---|---|
| 9:30 - 13:00 | ● | ● | ● | ● | ● | ● | ★ | / |
| 14:30 - 19:00 | ● | ● | ● | ● | ● | ▲ | ★ | / |
▲:14:30 - 17:30
★:月に1度、矯正治療日11:00-17:00

医院敷地内に8台の駐車場をご用意しております。
※遠州鉄道「上島駅」出口から車5分
当院はイオン市野の東側にありますので、「イオンモール浜松市野」までバスでお越しください。